大阪・心斎橋のホワイトニング専門歯科が伝えたい成功の秘訣〜後編〜
2026年2月18日
前編では、ホワイトニングは短期間で集中的に進めることが重要!だとお伝えしました。 後編では「どのように進めるか」という“設計”の重要性についてお話します。 ホワイトニングは「回数」と「設計」が重要です! ホワイトニングは […]
大阪・心斎橋のホワイトニング専門歯科が伝えたい成功の秘訣〜前編〜
2026年2月15日
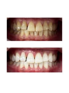
こんにちは^^ 今日は《歯科医が解説》ホワイトニングを成功させる秘訣とは?白くならない原因についても解説します。 当院にはホワイトニングが初めての方はもちろん これまでのホワイトニングで理想の白さにならなかった方も多く御 […]

