アペゼデンタルクリニックメインビジュアル アペゼデンタルクリニックメインビジュアル

最短で、あなたの
理想の白さに!

  • 駅近!心斎橋駅徒歩2分
  • 効果重視 1回でも効果を実感
  • 女性審美歯科医によるホワイトニング専門歯科
  • 豊富な症例に基づく安心のカウンセリング

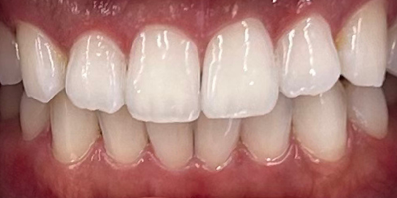
ホワイトニング 症例集

cases

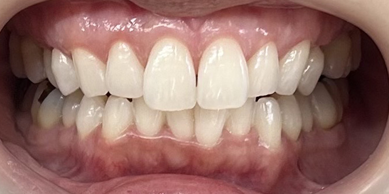
ホワイトニング症例7の施術前(ビフォー)の歯の様子
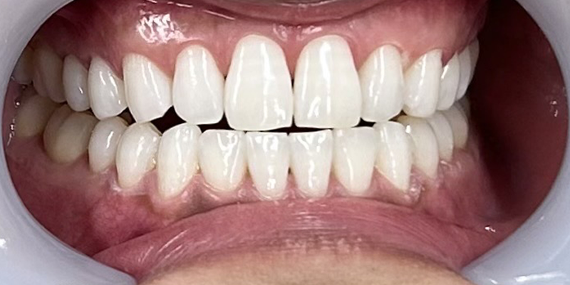
ホワイトニング症例7の施術後(アフター)の白くなった歯の様子

Before

After

治療箇所
上下顎1から4番まで
治療内容
ホワイトニング
期間/回数
3ヶ月・5回
費用
113,960円
3ヶ月コース オフィスホワイトニング+ホームホワイトニング
B1→BL1
副作用、リスク:しみる可能性あり
ホワイトニング症例8の施術前(ビフォー)の変色した歯
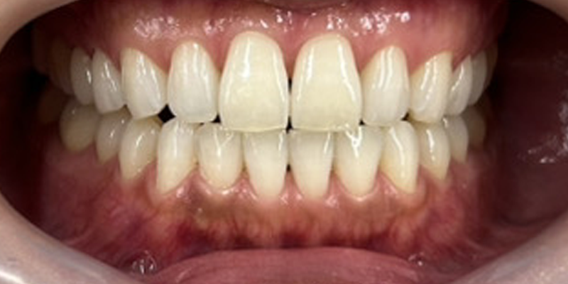
ホワイトニング症例8の施術後(アフター)の綺麗な白い歯

Before

After

治療箇所
上下顎1から4番まで
治療内容
ホワイトニング
期間/回数
1ヶ月・5回
費用
95,040円
コース③
D2→BL3
副作用、リスク:しみる可能性あり
症例_9ビフォー画像
症例_9アフター画像

Before

After

治療箇所
上下顎1から4番まで
治療内容
ホワイトニング
期間/回数
2ヶ月・5回
費用
144,980円
コース① ホームジェル10%1本、16%3本
A3.5→BL3
副作用、リスク:しみる可能性あり
症例_10ビフォー画像
症例_10アフター画像

Before

After

治療箇所
上下顎1から4番まで
治療内容
ホワイトニング
期間/回数
5ヶ月・5回
費用
106,260円
コース②+ホームホワイトニング ホームジェル16%3本 22%1本
A3→BL3
副作用、リスク:しみる可能性あり

クリニック紹介動画

clinic tour

キャンペーン

CAMPAIGN

キャンペーンに関するお問合せ、来院予約はこちら

お客様の声

review

お客様の声

インタビュー

お客様に当院の印象や施術を受けた感想などを伺いました

当院のホワイトニングの特徴

feature

アペゼデンタルクリニックのホワイトニングの特徴イメージ

痛みに配慮しながら
効果を重視

「他クリニックでは、痛くてできなかった」というお客様にも多くご来院いただき、好評いただいています。有資格者としての正しい知識と豊富な経験を持っているため、痛みへの配慮をしっかりとしながら、効果も感じていただけるよう照射時間や薬液の濃度調整をお一人お一人に合わせて施術しています。

アペゼデンタルクリニックのホワイトニングの特徴イメージ

少ない回数で
効果が得られやすい

美容ホワイトニングは、歯の表面的な汚れを落とすため一時的には白くなったように感じますが、歯自体が白くなるわけではありません。有資格者が正しい知識のもと施術を行い、効果を重視している当院では、しっかり歯自体が白くなるため、初回から効果を感じていただくことができ、より少ない回数で理想の白い歯へと近づくことができます。 ※個人差があるので診察が必要です。

アペゼデンタルクリニックのホワイトニングの特徴イメージ

歯科医師、歯科衛生士が施術
一人一人に合せた薬剤を調合

当院のオフィスホワイトニングでは、高濃度の医療用薬剤と専門機器を使用いたします。ホワイトニングサロンでは使用ができない効果、安全性の高いものを使用しています。また、ホームホワイトニングについては、厚生労働省に承認された薬剤を使用しています。お身体には無害の薬剤を、お一人お一人の診察結果に合わせて濃度調整を行い使用するため、安心して施術を受けていただけます。

アペゼデンタルクリニックのホワイトニングの特徴イメージ

お好みの白さ、生活スタイルに
合わせたプランをご提案

目標の白さやライフスタイルに合わせたホワイトニング方法をご提案。目標の白さや、生活スタイル、通院頻度には個人差があります。当院ではお客様に応じて、より早く効果が出るようなホワイトニング方法をご提案しております。またホワイトニングの後にコーティングを行う為、基本的には普段の過ごし方、飲食に制限を設けていません。

当院が選ばれる理由

advantage

比較リスト

一人一人に合ったホワイトニングのプラン

一般的な歯科医院が使用する薬剤は決まった濃度のものを使用しますが、当院ではお客様の歯の状態や、希望の白さや期間に合せた独自の調合を行います。ホワイトニング専門の歯科医院だから出来る細やかな調整が可能です。
他院やホワイトニングサロンでは効果を実感できなかった方もご相談ください。

LINEでお友達登録するだけ

かんたん! お得! 20%OFF!

メッセージ

message

アペゼデンタルクリニック院長 坂根 有紀

アペゼデンタルクリニック院長 坂根 有紀

あなたの「なりたい」を叶える医療ホワイトニング

はじめまして。 アペゼデンタルクリニック歯科医師の坂根有紀と申します。 私はこれまで様々な歯科治療に携わってまいりました。 最近では、美意識の高まりとともに歯への関心も非常に大きくなっており、審美歯科のご相談が大変増えていると感じています。

白くてきれいな歯は、お顔の印象を明るく変えます。私自身、もともと歯の色がコンプレックスでしたが、ホワイトニングにより白くなったことで、笑顔に自信が持てるようになりました。 私自身も10年以上ホワイトニングを続けており、今では私の人生になくてはならないものとなっています。当院では、皆様のお悩みの改善に繋がり、白い歯で日々の笑顔と心に自信が持てるよう、最善を尽くすことをお約束いたします。

また、一般歯科診療、審美歯科(セラミック)、矯正、インプラント、小児歯科などの診療も行っております。(治療は心斎橋クローバー歯科にて行っております。) お口のことでお困りの際は、何でもご相談くださいませ。

キャンペーン・割引情報

discount

いっしょに
おとくに

初回いっしょに来院割引

お友達、ご家族といっしょに

ご家族、ご友人と一緒に来院された場合
お二人とも

初回限定

30% OFF
最大 8,580 円お得に!

ご予約、お問合せの際、キャンペーン利用の旨をお伝えください。LINEの場合はメッセージに「初回いっしょに来院割引」とご記載ください。

お二人とも当院のご利用が初めての方限定の割引となります。

ご紹介割引

紹介した方も、された方も

これまで当院をご利用いただいた方のご紹介で来院されると
紹介した方もされた方もお得に!

紹介した方は
次回の施術料が

3,000円OFF

紹介された方は
初回施術料が

30% OFF
最大8,580円お得に!

ご予約、お問合せの際、キャンペーン利用の旨をお伝えください。LINEの場合はメッセージに「紹介割引」とご記載ください。

「初回いっしょに来院割引」との重複適用はされません。紹介した方が一緒にご来院された場合も、紹介した方は3,000円引き、紹介された方は30%OFFとなります。

ブログ

blog

よくある質問

F A Q

当院に寄せられるよくある質問をまとめました

ホワイトニングサロンと歯科医院のホワイトニングは何が違いますか?

大きな違いは、使用できる薬剤の濃度と、医療行為であるかどうかです。ホワイトニングサロンでは、医療行為ができないため、歯の表面の着色汚れを落とすことを目的とした、薬剤しか使用できません。一方、当院のような医療ホワイトニング専門の歯科医院では、歯科医師・歯科衛生士の管理のもと、高濃度の医療用ホワイトニング薬剤を使用します。これにより、歯の内部の色素を分解し、歯本来の色を安全に、そして効果的に白くすることが可能です。

ホワイトニングサロンのセルフホワイトニングでは、本当に歯は白くなりますか?

ホワイトニングサロンで行われるセルフホワイトニングは、主に歯の表面に付着した着色汚れ(ステイン)を除去することで、歯本来の白さに近づけるものです。これは、コーヒーや紅茶、タバコなどによる着色を落とす効果は期待できますが、歯そのものの色を漂白して白くする効果は期待できません。医療ホワイトニングとはメカニズムが異なるため、より高い漂白効果を求める場合は、医療機関でのホワイトニングをおすすめします。

安全性や効果の面で、医療ホワイトニング専門の歯科医院を選ぶメリットは何ですか?

医療ホワイトニング専門の歯科医院を選ぶ最大のメリットは、安全性と効果の高さです。当院では、お口の状態を事前に詳しく診査し、患者様一人ひとりに最適なホワイトニングプランをご提案します。万が一、施術中にしみるなどの症状が出た場合でも、歯科医師・歯科衛生士が適切に対処できるため安心です。また、高濃度の医療用薬剤と専門機器を使用するため、ホワイトニングサロンでは得られない、確実で高い漂白効果を期待できます。

医療ホワイトニングは歯にダメージを与えませんか?

医療ホワイトニングは、安全性の高い薬剤を使用し、歯の表面を削ることなく色素を分解します。当院では、事前の丁寧な診査と、患者様のお口の状態に合わせた適切な処置を行うことで、歯への負担を最小限に抑えています。ほとんどの方に安全に受けていただける治療ですのでご安心ください。

ホワイトニングの効果はどのくらい持続しますか?

効果の持続期間には個人差がありますが、一般的には3~6ヶ月程度効果が持続すると言われています。食生活や喫煙の有無、日頃の歯磨き習慣によっても異なります。当院では、効果を長持ちさせるためのアフターケアや、定期的なメンテナンスについてもアドバイスさせていただいております。

ホワイトニングで歯がしみたりすることはありますか?

医療ホワイトニングの薬剤によって、一時的に歯がしみることがありますが、通常は数時間から数日で治まる軽度なものです。当院では、知覚過敏が起こりにくいよう薬剤の濃度や照射時間を調整したり、知覚過敏抑制剤を併用するなど、患者様の状態を考慮した施術を心がけております。ご不安な点があれば、遠慮なくご相談ください。

どのような人が医療ホワイトニングを受けられますか?

健康な歯と歯ぐきをお持ちの方であれば、ほとんどの方が医療ホワイトニングをお受けいただけます。ただし、妊娠中の方、授乳中の方、重度の歯周病や虫歯がある方、無カタラーゼ症の方などは、ホワイトニングができない場合があります。まずは一度、無料カウンセリングにお越しいただき、お口の状態を拝見させてください。

ホワイトニング後は食事制限が必要ですか?

当院のホワイトニングは施術後にコーティングを塗布するため、食事制限を設けておりません。30分後以降、お食事もしていただけます。いつでも、お気軽に受けていただけますのでご安心ください。

アクセス

access

Apaiser dental clinic

アペゼデンタルクリニック

〒542-0085
大阪府大阪市中央区心斎橋筋1丁目1−1 心斎橋クラシックビル 9F
TEL : 06-4965-9580
診療時間
9:30~19:30 ×

土日祝も診療 / 休診日:金曜日

新着情報

news

2025/09/01
患者様へのインタビュー動画を公開しました
2025/08/13
医院紹介動画を公開しました
2025/06/09
新しいホームページを公開しました
2025/03/20
心斎橋に移転いたしました